The PACS Server

Adding Annotations

The annotation tools are used to add graphics and measurements to images. To add annotations to an image select the Create annotations icon.

A box will appear with all available annotations:

 

Toggle Annotation

To display or hide annotations, select the Toggle Annotation icon

Modifying or Deleting an Annotation

 

To delete an annotion:

  1. Double-click on annotation

  2. Select the Delete icon

To modify an annotation:

  1. Double-click on annotation

  2. Select the grab points to adjust annotation (moving around on image or changing size)

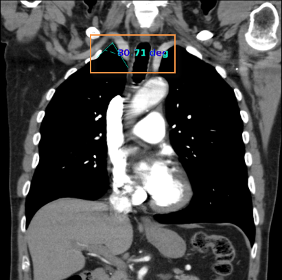
Measure Angle

To obtain an angle measurement:

  1. Select the Measure angle icon
  2. Click and drag mouse to create first ray
  3. Position the mouse cursor at the starting point of the second ray, press and drag to create line

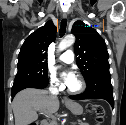
Measure Distance

To obtain a distance measurement:

  1. Select the Measure distance icon
  2. Click and drag mouse to expand the measurement ruler or region
  3. Release the mouse button to get the measurement value

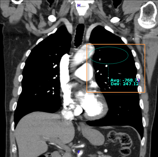
Houndsfield Value

The Hounsfield annotation tool creates a region of interest and calculates its average pixel value and the standard deviation on the distribution.

To obtain a Houndsfield Value measurement:

  1. Select the Hounsfield Value icon

  2. Click on the region of interest

  3. Drag on the mouse to encircle the area

  4. Release the mouse button

 

The default region of interest drawn on the image is a true circle. When resizing the ROI, maintain a true circle by using the corner grab points

 

The center grab point   will move ROI around the image and others will elongate or narrow.

 

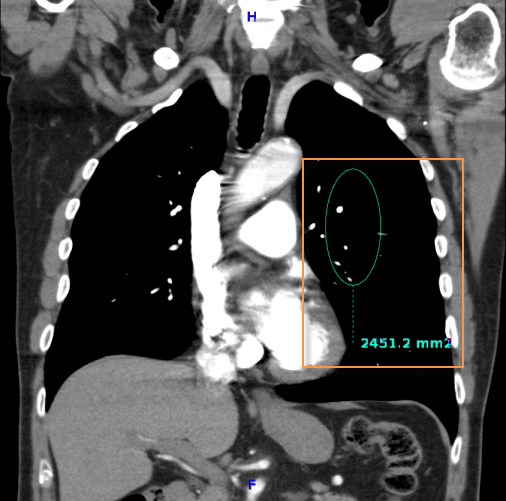
Region of Interest

To obtain a region of interest measurement:

  1. Select the Region of Interest   icon

  2. Click on the region of interest

  3. Drag on the mouse to encircle the area

  4. Release the mouse button

 

Center grab point   will move ROI around the image and others will elongate or narrow.

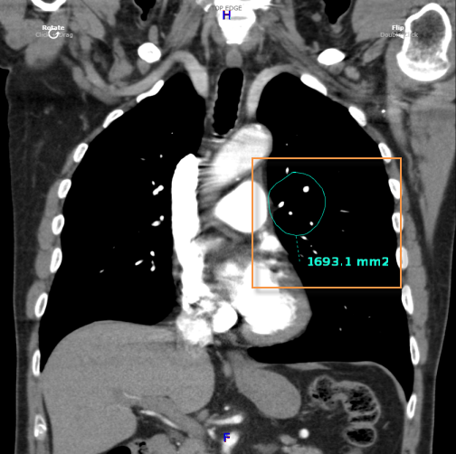
Free Region

To obtain a free region measurement:

  1. Select the Free Region   icon

  2. Click on the region of interest

  3. Drag on the mouse to encircle the area

  4. Release the mouse button

 

To move the whole free region, select the upper grab point  .  To extend areas of a free region, click on the desired area to reveal 3 grab points.  Selecting one of these grab points will extend the free region to include a specific area.

 

 

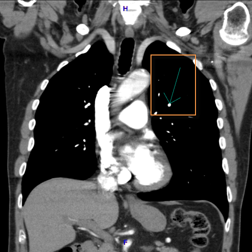
Pointer

To insert a pointer arrow:

  1. Select the Pointer   arrow icon

  2. Drag the mouse to adjust size of pointer

 

 

Double click on the arrow to delete or adjust direction.  Rotate the arrow by clicking on the grab point and dragging around itself.