eRAD PACS Kiszolgáló

Az annotációs eszközök segítségével ábrákat és méréseket adhat a képhez. Annotációk képhez adásához válassza az Annotáció létrehozása
ikont.
Egy ablak jelenik meg az összes lehetséges annotációval:

- Szög mérése
- Távolság mérése
- Hounsfield-érték
- ROI
- Szabad terület
- Mutató

Annotációk megjelenítéséhez vagy elrejtéséhez válassza az Annotáció bekapcsolása
ikont

Annotáció törléséhez:
Kattintson duplán az annotáción
Válassza a Törlés
ikont
Annotáció módosításához:
Kattintson duplán az annotáción
Válassza a megfogási pontokat
az annotáció beállításához (mozgatás a képen vagy a méret módosítása)


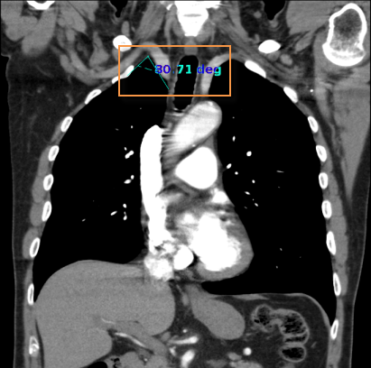
Szög méréséhez:


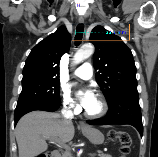
Távolság méréséhez:

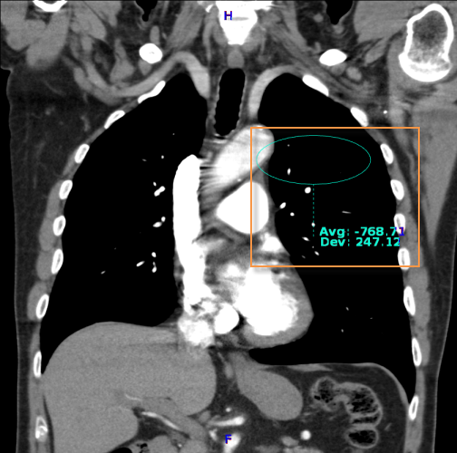
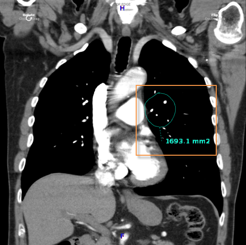
A Hounsfield annotációs eszköz létrehoz egy vizsgált területet, és kiszámítja annak átlagos pixelértékét és szórását.

Hounsfield-érték méréséhez:
Válassza a Hounsfield-érték
ikont
Kattintson az ROI-re
Húzza az egeret a terület meghatározásához
Engedje el az egérgombot

A képre rajzolt alapértelmezett vizsgált terület egy teljes kör. ROI átméretezése során a teljes kört a sarkakon található fogópontokkal tarthatja fenn
A középső megfogási ponttal
mozgathatja az ROI-t a képen, a többivel pedig nyújthatja vagy keskenyítheti.


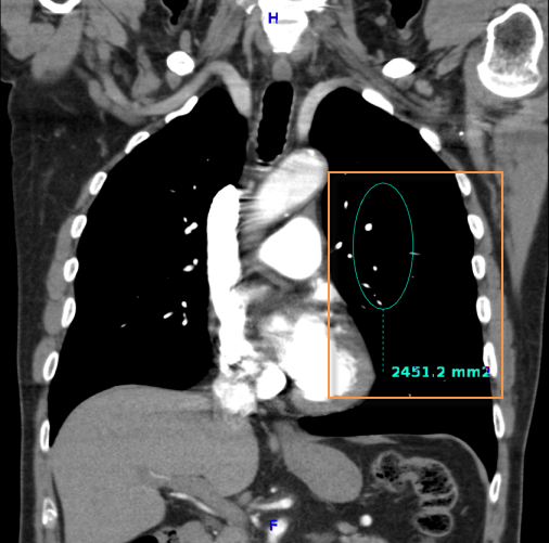
A vizsgált terület (ROI) mérésének menete:
Válassza a vizsgált terület (ROI)
ikont
Kattintson a vizsgált területre
Húzza az egeret a terület meghatározásához
Engedje el az egérgombot

A középső fogóponttal
mozgathatja az ROI-t a képen, a többivel pedig nyújthatja vagy keskenyítheti.


Szabad terület méréséhez:
Válassza a Szabad terület
ikont
Kattintson a vizsgált területre
Húzza az egeret a terület meghatározásához
Engedje el az egérgombot

A teljes szabad terület áthelyezéséhez válassza a felső fogópontot
. Szabad terület kiterjesztéséhez kattintson a kívánt területre, ezzel 3 fogópont jelenik meg. A fogópontok egyikének kiválasztásával az adott területtel kiterjesztheti a szabad területet.

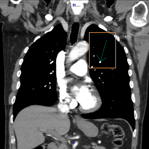
Mutató nyíl beillesztéséhez:
Válassza a Mutató
nyíl ikont
Az egér húzásával állítsa be a mutató méretét

Kattintson duplán a nyílra annak törléséhez, vagy az irány beállításához. A nyilat a fogópontra
kattintva és a kívánt irányban húzva forgathatja el.
