The PACS Server
![]()
The annotation
tools are used to add graphics and measurements to images. To add
annotations to an image select the Create
annotations
icon.
A box will appear with all available annotations:

- Measure Angle
- Measure Distance
- Houndsfield Value
- Region of Interest
- Free region
- Pointer

To display or hide annotations, select the Toggle
Annotation
icon

To delete an annotion:
Double-click on annotation
Select
the Delete
icon
To modify an annotation:
Double-click on annotation
Select
the grab points
to adjust annotation (moving around on image or changing size)


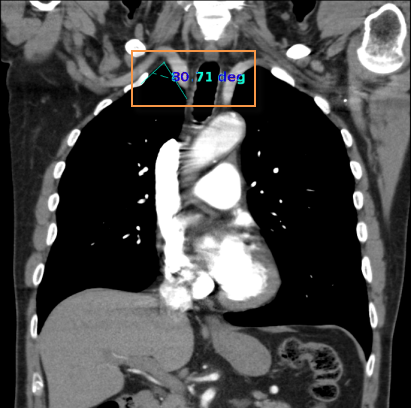
To obtain an angle measurement:


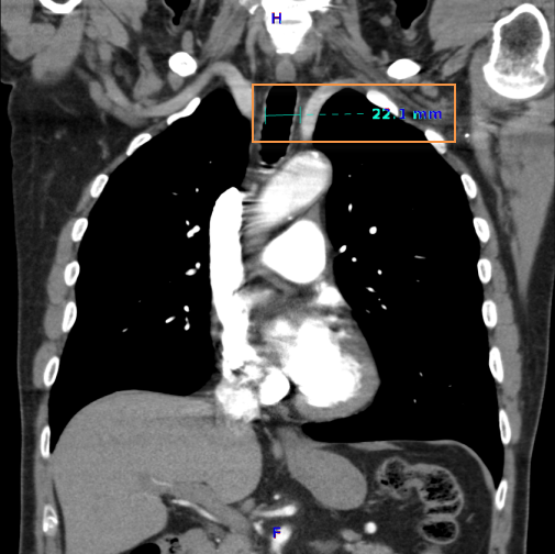
To obtain a distance measurement:

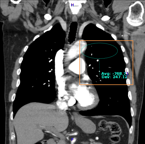
The Hounsfield annotation tool creates a region of interest and calculates its average pixel value and the standard deviation on the distribution.

To obtain a Houndsfield Value measurement:
Select the
Hounsfield Value
icon
Click on the region of interest
Drag on the mouse to encircle the area
Release the mouse button

The default region of interest drawn on the image is a true circle. When resizing the ROI, maintain a true circle by using the corner grab points
The center grab point
will move ROI around the image and others will elongate
or narrow.


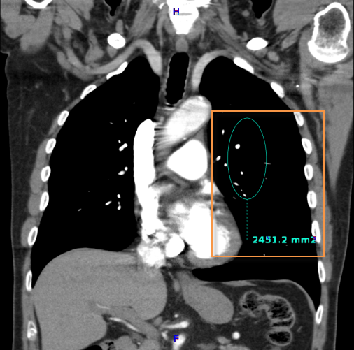
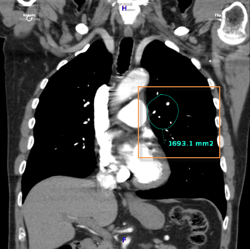
To obtain a region of interest measurement:
Select the Region of Interest
icon
Click on the region of interest
Drag on the mouse to encircle the area
Release the mouse button

Center
grab point
will move
ROI around the image and others will elongate or narrow.


To obtain a free region measurement:
Select the
Free Region
icon
Click on the region of interest
Drag on the mouse to encircle the area
Release the mouse button

To move the whole free region, select the upper
grab point
. To
extend areas of a free region, click on the desired area to reveal 3 grab
points. Selecting one of these grab points will extend the free
region to include a specific area.

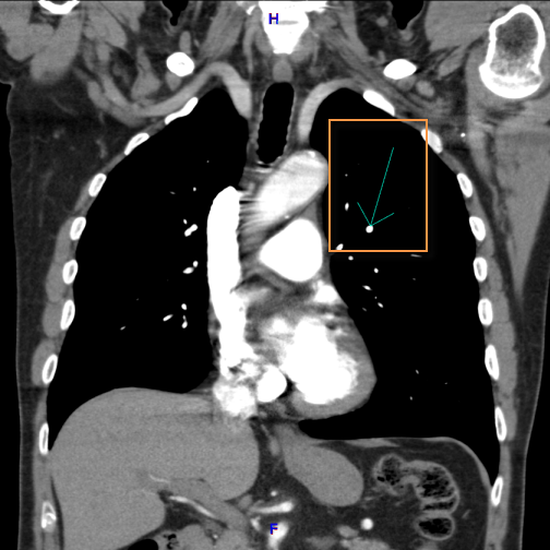
To insert a pointer arrow:
Select the
Pointer
arrow icon
Drag the mouse to adjust size of pointer

Double click
on the arrow to delete or adjust direction. Rotate
the arrow by clicking on the grab point
and dragging around
itself.