PACS Desktop Viewer
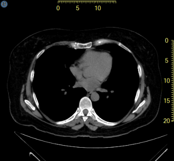
Ruler overlays appearing on the outside of the image frame exist for all calibrated images as shown highlighted in yellow below. The user is able to assign the location of the rulers, and whether they exist for the vertical, horizontal or both planes.

To show scales, for sizing:
Pull down the View Menu
Select Show scale list
Icon |
Menu Item |
Description |
|
No scale |
Remove any scales from the images |
|
Left scale |
Show a scale on the left only |
|
Left + Top scale |
Show a scale on the left and one on the top |
|
Top scale |
Show a scale on the top only |
|
Right + Top scale |
Show a scale on the right and one on the top |
|
Right scale |
Show a scale on the right only |
|
Right + Bottom scale |
Show a scale on the right and one on the bottom |
|
Bottom scale |
Show a scale on the bottom only |
|
Left + Bottom scale |
Show a scale on the left and one on the bottom |