PACS Desktop Viewer


Image Scales

 

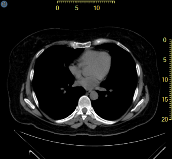
Ruler overlays appearing on the outside of the image frame exist for all calibrated images as shown highlighted in yellow below. The user is able to assign the location of the rulers, and whether they exist for the vertical, horizontal or both planes.

 

 

To show scales, for sizing:

  1. Pull down the View Menu

  2. Select Show scale list

Icon

Menu Item

Description

No scale

Remove any scales from the images

Left scale

Show a scale on the left only

Left + Top scale

Show a scale on the left and one on the top

Top scale

Show a scale on the top only

Right + Top scale

Show a scale on the right and one on the top

Right scale

Show a scale on the right only

Right + Bottom scale

Show a scale on the right and one on the bottom

Bottom scale

Show a scale on the bottom only

Left + Bottom scale

Show a scale on the left and one on the bottom