PACS Desktop Viewer


Stack Rulers

 

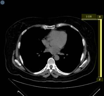
The stack ruler shows where the current image is located with respect to other images in the series. The stack ruler appears as an overlay along the edge of the image frame and shows the relative position of the currently displayed image within the series. It is shown highlighted in yellow in the image below.

 

 

 

To show stack rulers:

  1. Pull down the View Menu

  2. Select to Show stack ruler list to open its submenu

Icon

Menu Item

Description

No stack ruler

Remove any stack rulers

Left stack ruler

Show a stack ruler on the left of the image

Right stack ruler

Show a stack ruler on the right of the image