PACS Asztali Nézegető


Képskálák

 

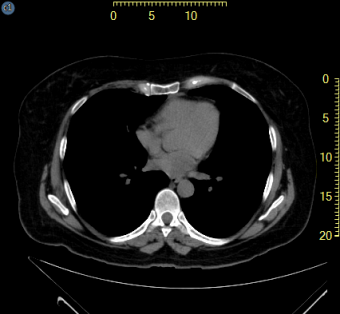
A képkocka külső részén megjelenő vonalzó overlayek az összes kalibrált képre vonatkozóan léteznek, amint az alább sárga színnel kiemelve látható. A felhasználó beállíthatja a vonalzók helyét és azt, hogy függőlegesen, vízszintesen vagy mindkét síkban helyezkedjenek el.

 

 

A skálázás megjelenítéséhez, méretezéshez:

  1. Húzza le a Nézet menü elemet

  2. Válassza ki a Skálalista megjelenítése lehetőséget

Ikon

Menüpont

Leírás

Nincs skála

Minden skála eltávolítása a képekből

Bal oldali skála

Skála megjelenítése csak a bal oldalon

Bal oldali + felső skála

A bal oldali és az egyik felső skála megjelenítése

Felső skála

Csak a felső skála megjelenítése

Jobb oldali + felső skála

A jobb oldali és az egyik felső skála megjelenítése

Jobb oldali skála

Skála megjelenítése csak a jobb oldalon

Jobb oldali + alsó skála

A jobb oldali és az egyik alsó skála megjelenítése

Alsó skála

Skála megjelenítése csak alul

Bal oldali + alsó skála

A bal oldali és az egyik alsó skála megjelenítése