PACS Asztali Nézegető
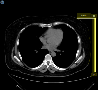
A halmazvonalzó megmutatja, hogy az aktuális kép hol helyezkedik el a sorozat többi képéhez képest. A halmazvonalzó overlay-ként jelenik meg a képkocka széle mentén, és mutatja az aktuálisan megjelenített kép relatív pozícióját a sorozaton belül. Az alábbi képen sárga színnel kiemelve jelenik meg.

Halmazvonalzók megjelenítéséhez:
Húzza le a Nézet menü elemet
Válassza ki a Halmazvonalzó-lista megjelenítése lehetőséget az almenü megnyitásához
Ikon |
Menüpont |
Leírás |
|
Nincs halmazvonalzó |
Távolítson el tetszőleges halmazvonalzót |
|
Bal oldali halmazvonalzó |
A kép bal oldalán egy halmazvonalzó megjelenítése |
|
Jobb oldali halmazvonalzó |
A kép jobb oldalán egy halmazvonalzó megjelenítése |