PACS Asztali Nézegető
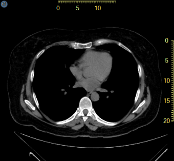
A képkocka külső részén megjelenő vonalzó overlayek az összes kalibrált képre vonatkozóan léteznek, amint az alább sárga színnel kiemelve látható. A felhasználó beállíthatja a vonalzók helyét és azt, hogy függőlegesen, vízszintesen vagy mindkét síkban helyezkedjenek el.

A skálázás megjelenítéséhez, méretezéshez:
Húzza le a Nézet menü elemet
Válassza ki a Skálalista megjelenítése lehetőséget
Ikon |
Menüpont |
Leírás |
|
Nincs skála |
Minden skála eltávolítása a képekből |
|
Bal oldali skála |
Skála megjelenítése csak a bal oldalon |
|
Bal oldali + felső skála |
A bal oldali és az egyik felső skála megjelenítése |
|
Felső skála |
Csak a felső skála megjelenítése |
|
Jobb oldali + felső skála |
A jobb oldali és az egyik felső skála megjelenítése |
|
Jobb oldali skála |
Skála megjelenítése csak a jobb oldalon |
|
Jobb oldali + alsó skála |
A jobb oldali és az egyik alsó skála megjelenítése |
|
Alsó skála |
Skála megjelenítése csak alul |
|
Bal oldali + alsó skála |
A bal oldali és az egyik alsó skála megjelenítése |